Maxillofacial Surgery

Maxillofacial Surgery

Oral and maxillofacial surgery is a branch that involves a number of surgical procedures, which include

  • Removal of wisdom tooth.
  • Bone grafting.
  • Treatment of facial trauma.
  • Treatment of oral pathological lesions.
  • Dental implants.

Removal of Wisdom Tooth

Wisdom tooth is the last tooth in the arch and is also the last one to erupt. If they are aligned properly in the arch then they need not be removed. But if they grow sideways,

or emerge partially or remain trapped inside the bone it is necessary to remove them. They may cause infection which would result in swelling and pain. They can also affect adjacent tooth. Not only this,

they may also disturb the natural alignment of other teeth. Therefore, an early removal of wisdom tooth is recommended.

Procedure

An X-ray is first needed to evaluate the position and depth of wisdom tooth. Then during the procedure, first, anaesthesia is given to numb the area. Tooth is removed. Sutures are then given. Medication is then recommended for few days.

Temporomandibular Joint Disorders

These are a group of problems related to complex jaw joint. The symptoms associated with the disorder may include any of the following.
  • Pain and clicking sound on opening or closing the mouth.
  • Pain or difficulty in opening mouth, eating or yawning.
  • Teeth do not touch on biting.
  • Hard to use front teeth while tearing or biting.
  • Repeatedly grinding or clenching the teeth.
  • These problems may result due to stress, temporomandibular joint injury, arthritis, infection, tightening of jaw muscles or repeated clenching or grinding of teeth.

Treatment

Most of these problems can be treated in initial stages. For problems related to grinding, a splint or a nightguard can be given. It helps in relaxation of muscles and also reduces pain.

Bone Grafting

Bone grafting is a surgical procedure in which synthetic material is placed beneath the gums which are then sutured back. After several months of healing bone becomes a part of patient’s jaw.

After this, dental implants can be placed inside the bone. Bone grafting thereby gives chance to restore function and facial appearance.Bone grafting can also be used to treat cases of trauma, tumour or congenital defects.

Facial Trauma

  • Facial lacerations (cuts).
  • Removal of tooth from socket.
  • Fracture of facial bones.
  • Fracture of jaws.
  • Cuts or bruises inside the mouth.
  • Soft tissue injuries can be treated by suturing.
  • Injuries to teeth can be treated by splinting, that is, stabilizing the teeth by wiring or bonding together.
  • In certain cases of fracture of jaws wiring of jaws is needed.
  • Soft tissue injuries can be treated by suturing.
  • Injuries to teeth can be treated by splinting, that is, stabilizing the teeth by wiring or bonding together.
  • In certain cases of fracture of jaws wiring of jaws is needed.
  • For some fracture cases, placement of small screws or plates might be needed.

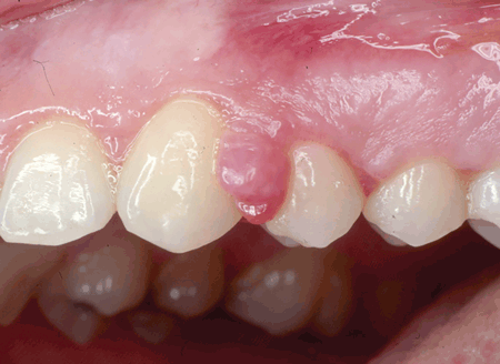
Oral Pathology

A special type of mucosa is present inside the mouth which is smooth and coral pink. Any alteration in the normal structure indicates pathology. Any of the following symptoms if present need treatment

  • A reddish/ whitish patch.
  • A sore that does not heal.
  • Difficulty in chewing/swallowing food.
  • A lump or thickening on skin living inside the mouth.
  • Reduced mouth opening.

However, it is important to know that pain does not always occur in pathology.