Orthodontic

Orthodontic

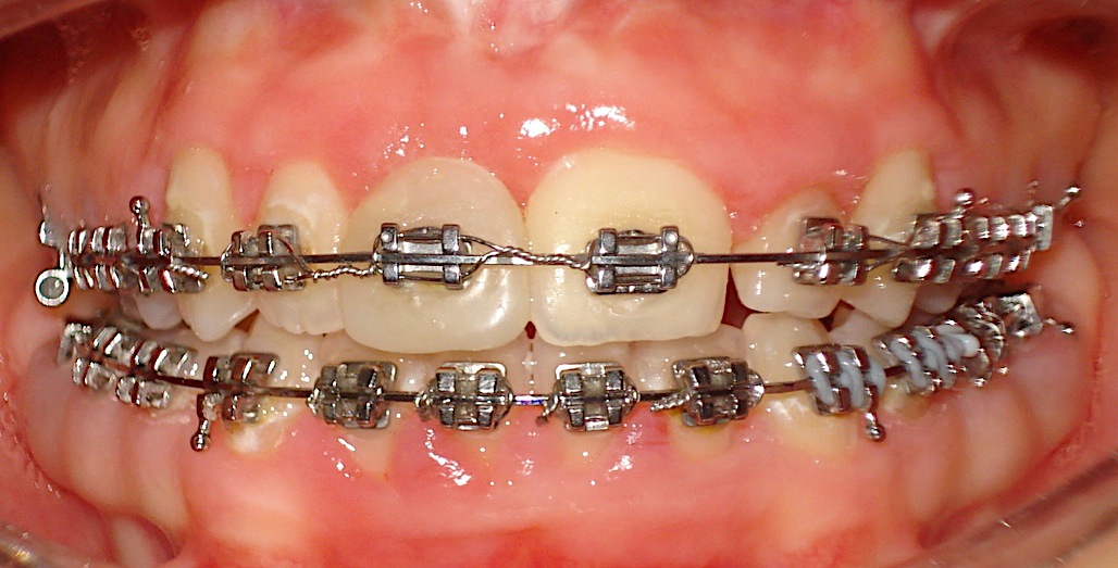
The service is offered for patients who have complaints of protruded or forwardly placed teeth or crooked or irregular teeth . The treatment duration is around 1 to 1 ½ yrs depending on the severity of the condition .

Treatment may/may not necessitate removal (extraction)of two/four teeth removal as indicated by each individuals facial pattern and severity of malocclusion.

What is the ideal age for orthodontic treatment?

Usually, problems can be detected by eight or nine years of age. Most orthodontic treatment is done after all the permanent teeth are through, at around 11 to 13 years. Some treatment can be started earlier, at about age eight or nine. With the arrival of Invisible braces even adults can be treated..

Orthodontics is an area of dentistry that diagnoses and corrects teeth and jaw alignment problems. Orthodontics specializes in treating patients with improper positioning of teeth when the mouth is closed (malocclusion), which results in an improper bite. Orthodontics also includes treating and controlling various aspects of facial growth (dento-facial orthopaedics) and the shape and development of the jaw.